범계피부과 여드름치료 다른 점은?
흔히 생각하는 여드름치료는
단순히 피부 겉 염증만 달래주는 치료,
그리고 "일시적인 효과"만 주는 치료였다면?
여기 범계피부과에서 진행하는 여드름치료는
"일시적인 효과, 그 이상의 결과"를 보여드린다고 합니다.
과연, 어떻게 다른 것일까요?


범계역 2분거리!
범계여드름치료피부과
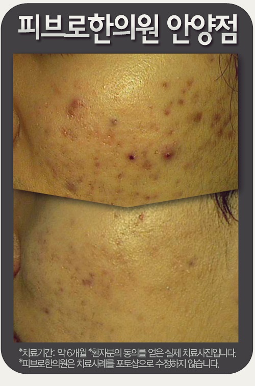
피브로한의원 안양점에서는
피부&체질 정밀진단과 클렌징, 압출, 약침치료, 외용제, 한방팩 등
한방 여드름치료를 미리 경험해볼 수 있는 이벤트를 통하여
내 피부에 가장 적합한 여드름치료 방법을 제시한 후,
증상과 원인을 동시에 치료해드리고 있습니다.

범계피부과에서는
우리가 알고있던 '여드름치료' 뿐만 아니라,
몸 속까지 치료하는 '원인치료'를 동시에 진행합니다.
장부의 불균형, 순환장애, 독소와 노폐물 등
몸 속 보이지 않는 곳에서 여드름을 유발한 '원인'을
내 체질에 맞춰 조제, 처방되는 1:1 맞춤 한약으로 제거하여
결과적으로는 피부, 그리고 몸을
동시에 건강하게 만들어드리는 것이죠.

평일 오후 9시 야간진료를 통하여
바쁜 현대인들도 쉽게 치료를 받을 수 있는 범계피부과!
'치료 후 재발 예방'이라는 여드름치료 포인트를 통하여
누구나 생각하고 있는 치료의 결과 그 이상을 보여드리고 있습니다.





나에게 꼭 맞춘 "1:1 맞춤치료"
증상과 원인을 동시에 제거하는 "내치+외치치료"
그리고, 원장님이 상담&진단부터 치료&처방까지
직접 도와드리는 특별한 프로그램까지!
범계역 2분거리 범계피부과에서
"마지막 여드름치료"를 시작해보세요.
(위 이미지 클릭시 범계피부과 여드름치료 피브로한의원 안양점 페이지로 이동합니다.)